Sample images from Lumito SCIZYS

The below images are imaged with the Lumito SCIZYS whole slide imaging scanner, intended for research use. The SCIZYS scanner acquires images of two modalities, the standard RGB, or brightfield modality, and the UCNP fluorescence modality. Some images below have been inverted to give a black background to better showcase the biomarker signal from the SCIZYS UCNP kit. The UCNP channel can take any colour, but is usually depicted in a bright colour, as seen below. 

CD31 labelled (green) in placenta
TMA with breast cancer biopsies labelled for HER2 (yellow)
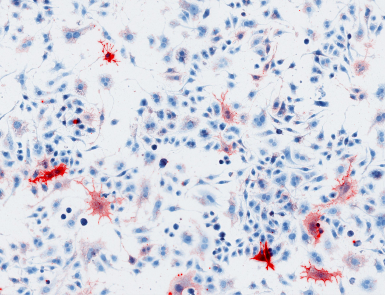
Dendritic cells labelled (red) in a cell sample
PSMA labelled (green) in prostate
TMA breast cancer biopsies with different levels of HER2 (red)
Direct labelling of HER2 (i.e. no secondary Ab) in breast cancer tissue
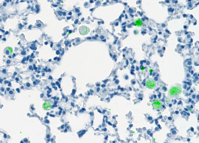
MBP labelled (green) Eosinophils in lung tissue
Ku80 labelled (green) in prostate tissue
Breast cancer tissue - HER2 labelled with DAB and PR with UCNP (green)
Rubisco large subunit (green) in Convalaria root​
PD-L1 labelled (red) in tonsil
CD68 labelled (green) in liver