Lumitos teknologi ger möjlighet att färga in vävnad med nano-partikelbaserade reagenser och därmed göra avbildningar i det egenutvecklade instrumentet. Två av de viktigaste fördelarna är att få fram avbildningar med hög kontrast och detaljeringsgrad samt att göra infärgningar med både Lumitos och traditionella reagenser i samma vävnadssnitt.
Bilderna visar jämförbar detaljeringsgrad motsvarande traditionell infärgning. Fördelarna med avbildningarna med Lumitos teknologi är att det endast förekommer signaler från de markörer som söks – i detta fall bröstcancermarkören Her2.
"När man studerar Her2-avbildningen baserad på Lumitos teknologi är det enkelt att förstå möjligheterna för patologerna att se endast vävnad av intresse. Teknologin erbjuder också potential för bildanalys som kan bli till hjälp i framtiden vid införandet av automatiserade diagnoser", säger Stefan Nilsson, VD på Lumito.
Lumito publicerar även cellavbildningar med kombinerad UCNP-infärgning och traditionell H&E-infärgning i samma snitt. Användaren kan sedan välja att analysera med hjälp av bilderna var för sig eller i en sammanslagen bild.
Bilder bifogas och kan även laddas ner i pressrummet www.news.cision.com/se/lumito
Bildtexter:
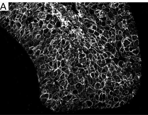
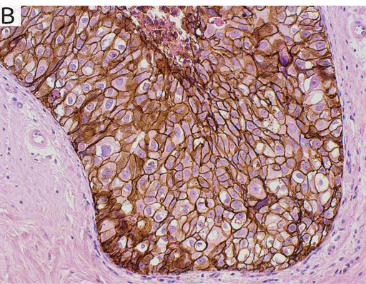
Figur 1. Jämförelse mellan Lumitos UCNP-infärgning och standard immunohistokemisk DAB-infärgning.
I bild A är bröstvävnad infärgad med Her2-UCNP–reagens för att visualisera celler med förekomst av Her2, en vanlig markör vid diagnos av bröstcancer.
Bild B visar infärgning i samma vävnadsprov som i bild A, men med standard DAB-infärgning. Både bild A och bild B visar jämförbar detaljeringsnivå men både bakgrundssignal och autofluorescens är eliminerade i Lumitos UCNP-baserade infärgning. Eliminering av all oväsentlig information från bakgrundssignal och autofluorescens ger väsentligt bättre förutsättningar för automatiserad analys baserat på t ex AI-algoritmer.
Figur 2. Kombinerad UCNP-infärgning och H&E-infärgning i samma cellsnitt.
Lumitos teknologi stödjer både UCNP-infärgning och H&E-infärgning i samma vävnadsprov. Användaren kan sedan välja att analysera båda bilderna var för sig eller i en sammanslagen bild. Bild A visar UCNP-baserad Her2-infärgningav BT 474 som är en bröstcancercellinje. I bild B visas standardiserad H&E-infärgning av samma snitt. I bild C visas den sammanslagna bilden.



