We have developed the next-generation IHC tissue analysis system, based on upconverting nanoparticles (UCNPs). The Lumito SCIZYS is a cutting-edge, high-sensitivity system combining labeling and imaging technologies to locate and measure biomarkers in tissue samples.
Struggling to quantify low‑abundance biomarkers in tissue? SCIZYS enables ultra‑sensitive, autofluorescence‑free detection, with a wide dynamic range in a single image. Move beyond visual scoring.
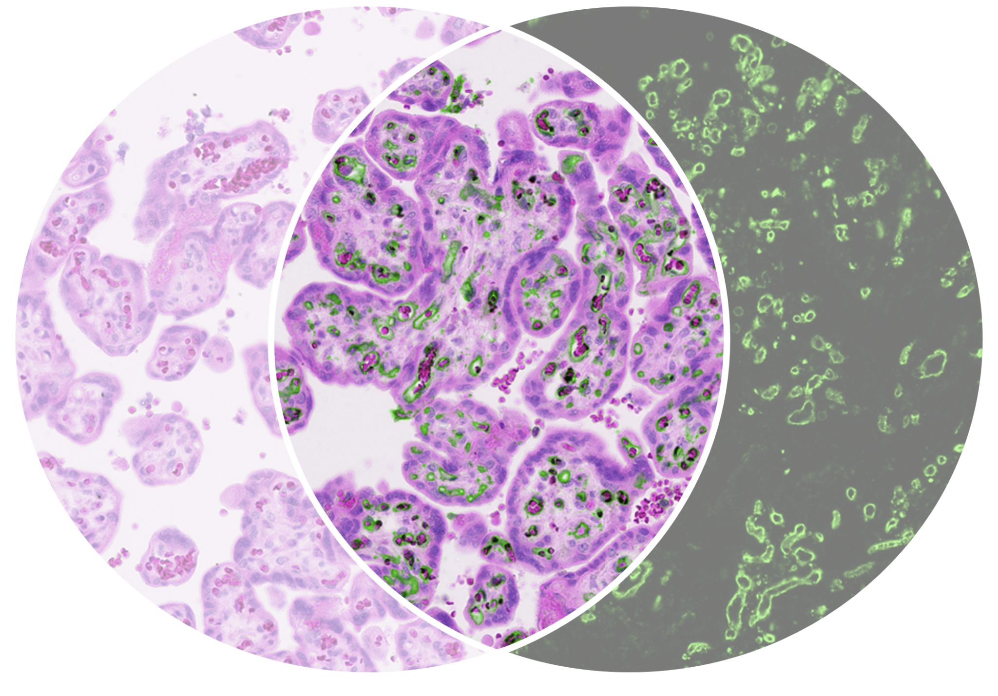
Detection of single labels from photon-upconverting nanoparticles
Chromogenic counterstain and biomarker information in fully separated channels from the same sample
High-accuracy quantification based on uniform nanoparticle light quanta and a wide dynamic range detection system
Ultrasensitive HER2‑low detection
Measuring very low HER2 can be challenging with standard tissue methods. Our new white paper shows how SCIZYS delivers up to 12× higher sensitivity, a broader dynamic range, and can measure HER2 at levels that enable differentiation between HER2‑low and HER2‑negative tissue.
Ultra-sensitive tissue biomarker detection
Low-level analyte detection can be difficult with conventional IHC. Our white paper shows how SCIZYS enables autofluorescence-free, ultra-sensitive detection with high photostability and extended dynamic range for advanced tissue analysis.
xxx
Här tänker jag att vi kan välja ut två till vetenskapliga artiklar eller annat så man förstår att det inte bara kan användas för HER2?
Lumito provides a complete workflow solution for ultra-sensitive tissue biomarker detection — from sample preparation to cloud-based image analysis.
Uses upconverting nanoparticle (UCNP) technology
Enables identification of biotinylated primary or secondary antibodies
Improves detection of biological markers in tissue samples
Send IHC slides to us for scanning
Images histological samples using:
Brightfield imaging
UCNP luminescence detection
Research Use Only (RUO). Not for clinical or diagnostic use.
For research teams interested in evaluating the platform.
